Horseshoe Kidney Or Renal Fusion . In 9 out of 10 cases,. horseshoe kidneys are the most common fusion defect of the kidneys occurring in approximately 1:500 individuals. horseshoe kidneys are the most common type of renal fusion anomaly. horseshoe kidney, or renal fusion, occurs when two individual kidneys fuse together as they rise from the lower belly. They form a u shape like a horseshoe. if your child has horseshoe kidney, also called renal fusion, you’ve probably got a lot of questions. This can also cause blockages to the ureters, the tubes that. horseshoe kidney is when the 2 kidneys join (fuse) together at the bottom. They render the kidneys susceptible to trauma and are an.
from healthjade.com
horseshoe kidney, or renal fusion, occurs when two individual kidneys fuse together as they rise from the lower belly. This can also cause blockages to the ureters, the tubes that. In 9 out of 10 cases,. They form a u shape like a horseshoe. horseshoe kidneys are the most common fusion defect of the kidneys occurring in approximately 1:500 individuals. if your child has horseshoe kidney, also called renal fusion, you’ve probably got a lot of questions. horseshoe kidneys are the most common type of renal fusion anomaly. horseshoe kidney is when the 2 kidneys join (fuse) together at the bottom. They render the kidneys susceptible to trauma and are an.
Horseshoe kidney causes, symptoms, complications, diagnosis & treatment
Horseshoe Kidney Or Renal Fusion horseshoe kidneys are the most common fusion defect of the kidneys occurring in approximately 1:500 individuals. horseshoe kidneys are the most common type of renal fusion anomaly. horseshoe kidneys are the most common fusion defect of the kidneys occurring in approximately 1:500 individuals. In 9 out of 10 cases,. if your child has horseshoe kidney, also called renal fusion, you’ve probably got a lot of questions. They form a u shape like a horseshoe. They render the kidneys susceptible to trauma and are an. horseshoe kidney is when the 2 kidneys join (fuse) together at the bottom. horseshoe kidney, or renal fusion, occurs when two individual kidneys fuse together as they rise from the lower belly. This can also cause blockages to the ureters, the tubes that.
From www.kenhub.com
Horseshoe kidney transplantation Anatomy and images Kenhub Horseshoe Kidney Or Renal Fusion if your child has horseshoe kidney, also called renal fusion, you’ve probably got a lot of questions. This can also cause blockages to the ureters, the tubes that. horseshoe kidney is when the 2 kidneys join (fuse) together at the bottom. They form a u shape like a horseshoe. horseshoe kidney, or renal fusion, occurs when two. Horseshoe Kidney Or Renal Fusion.
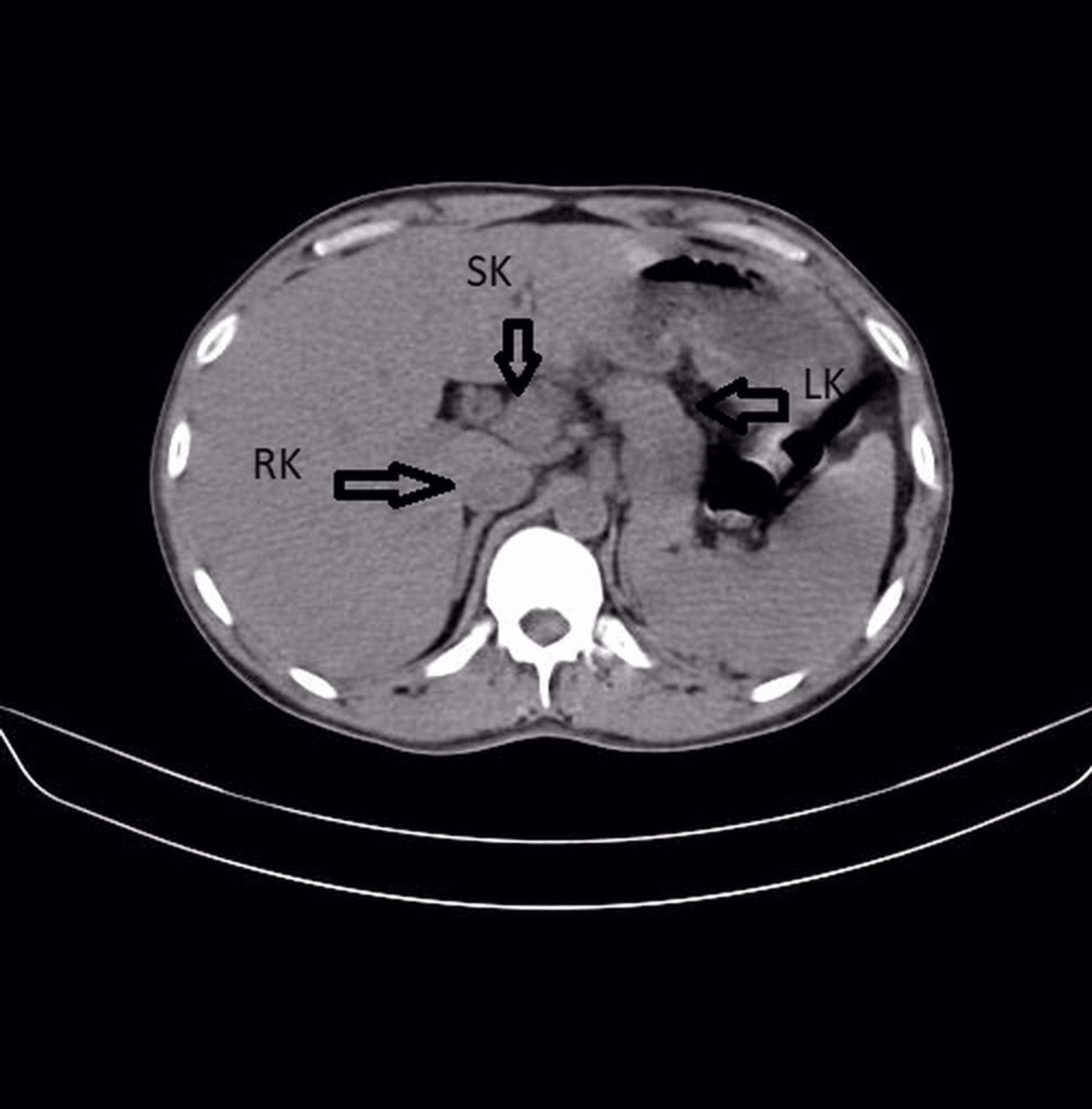
From www.semanticscholar.org
Figure 1 from Laparoscopic heminephrectomy of a horseshoe kidney with giant renal cell carcinoma Horseshoe Kidney Or Renal Fusion horseshoe kidney, or renal fusion, occurs when two individual kidneys fuse together as they rise from the lower belly. horseshoe kidney is when the 2 kidneys join (fuse) together at the bottom. if your child has horseshoe kidney, also called renal fusion, you’ve probably got a lot of questions. They form a u shape like a horseshoe.. Horseshoe Kidney Or Renal Fusion.
From radiopaedia.org
Horseshoe kidney Image Horseshoe Kidney Or Renal Fusion They form a u shape like a horseshoe. horseshoe kidney is when the 2 kidneys join (fuse) together at the bottom. horseshoe kidney, or renal fusion, occurs when two individual kidneys fuse together as they rise from the lower belly. horseshoe kidneys are the most common fusion defect of the kidneys occurring in approximately 1:500 individuals. . Horseshoe Kidney Or Renal Fusion.
From www.slideserve.com
PPT CrossedFused Renal Ectopia imaged with Tc99mMAG₃ PowerPoint Presentation ID3387833 Horseshoe Kidney Or Renal Fusion if your child has horseshoe kidney, also called renal fusion, you’ve probably got a lot of questions. horseshoe kidney, or renal fusion, occurs when two individual kidneys fuse together as they rise from the lower belly. They render the kidneys susceptible to trauma and are an. They form a u shape like a horseshoe. horseshoe kidneys are. Horseshoe Kidney Or Renal Fusion.
From www.slideserve.com
PPT CrossedFused Renal Ectopia imaged with Tc99mMAG₃ PowerPoint Presentation ID3387833 Horseshoe Kidney Or Renal Fusion horseshoe kidney is when the 2 kidneys join (fuse) together at the bottom. horseshoe kidneys are the most common fusion defect of the kidneys occurring in approximately 1:500 individuals. They render the kidneys susceptible to trauma and are an. In 9 out of 10 cases,. horseshoe kidney, or renal fusion, occurs when two individual kidneys fuse together. Horseshoe Kidney Or Renal Fusion.
From www.cureus.com
Cureus Supernumerary Kidney (Triple Kidney) With Horseshoe Malformation A Case Report Horseshoe Kidney Or Renal Fusion They render the kidneys susceptible to trauma and are an. This can also cause blockages to the ureters, the tubes that. if your child has horseshoe kidney, also called renal fusion, you’ve probably got a lot of questions. horseshoe kidney, or renal fusion, occurs when two individual kidneys fuse together as they rise from the lower belly. . Horseshoe Kidney Or Renal Fusion.
From www.urologyhealth.org
Horseshoe Kidney (Renal Fusion) Symptoms, Diagnosis & Treatment Urology Care Foundation Horseshoe Kidney Or Renal Fusion In 9 out of 10 cases,. They render the kidneys susceptible to trauma and are an. This can also cause blockages to the ureters, the tubes that. horseshoe kidney, or renal fusion, occurs when two individual kidneys fuse together as they rise from the lower belly. horseshoe kidneys are the most common type of renal fusion anomaly. . Horseshoe Kidney Or Renal Fusion.
From threadreaderapp.com
Thread by iamnephrologist Horseshoe Kidney for Nephrologist (1/n) Most common renal fusion Horseshoe Kidney Or Renal Fusion This can also cause blockages to the ureters, the tubes that. horseshoe kidneys are the most common fusion defect of the kidneys occurring in approximately 1:500 individuals. They form a u shape like a horseshoe. In 9 out of 10 cases,. if your child has horseshoe kidney, also called renal fusion, you’ve probably got a lot of questions.. Horseshoe Kidney Or Renal Fusion.
From reverehealth.com
Renal Fusion What is a Horseshoe Kidney? Revere Health Horseshoe Kidney Or Renal Fusion They form a u shape like a horseshoe. horseshoe kidney is when the 2 kidneys join (fuse) together at the bottom. They render the kidneys susceptible to trauma and are an. if your child has horseshoe kidney, also called renal fusion, you’ve probably got a lot of questions. horseshoe kidney, or renal fusion, occurs when two individual. Horseshoe Kidney Or Renal Fusion.
From www.pinterest.com
🙋🏻♀️ I have a Horseshoe Kidney 😳 yup looks just like it sounds. Also called RenalFusion. 👉🏼 It Horseshoe Kidney Or Renal Fusion In 9 out of 10 cases,. if your child has horseshoe kidney, also called renal fusion, you’ve probably got a lot of questions. horseshoe kidney, or renal fusion, occurs when two individual kidneys fuse together as they rise from the lower belly. horseshoe kidneys are the most common fusion defect of the kidneys occurring in approximately 1:500. Horseshoe Kidney Or Renal Fusion.
From www.youtube.com
Horseshoe Kidney (Renal Fusion) Causes, Symptoms, Treatment with Homeopathy Dr. Megha Horseshoe Kidney Or Renal Fusion horseshoe kidneys are the most common fusion defect of the kidneys occurring in approximately 1:500 individuals. They render the kidneys susceptible to trauma and are an. horseshoe kidney, or renal fusion, occurs when two individual kidneys fuse together as they rise from the lower belly. horseshoe kidney is when the 2 kidneys join (fuse) together at the. Horseshoe Kidney Or Renal Fusion.
From threadreaderapp.com
Thread by iamnephrologist Horseshoe Kidney for Nephrologist (1/n) Most common renal fusion Horseshoe Kidney Or Renal Fusion They render the kidneys susceptible to trauma and are an. This can also cause blockages to the ureters, the tubes that. horseshoe kidney, or renal fusion, occurs when two individual kidneys fuse together as they rise from the lower belly. horseshoe kidneys are the most common fusion defect of the kidneys occurring in approximately 1:500 individuals. They form. Horseshoe Kidney Or Renal Fusion.
From joshualshadeo.blob.core.windows.net
Horseshoe Kidney Congenital at joshualshadeo blog Horseshoe Kidney Or Renal Fusion They render the kidneys susceptible to trauma and are an. horseshoe kidney is when the 2 kidneys join (fuse) together at the bottom. They form a u shape like a horseshoe. This can also cause blockages to the ureters, the tubes that. In 9 out of 10 cases,. horseshoe kidney, or renal fusion, occurs when two individual kidneys. Horseshoe Kidney Or Renal Fusion.
From www.pinterest.com
Horseshoe kidneys are the most common type of renal fusion anomaly (see developmental renal Horseshoe Kidney Or Renal Fusion if your child has horseshoe kidney, also called renal fusion, you’ve probably got a lot of questions. horseshoe kidneys are the most common fusion defect of the kidneys occurring in approximately 1:500 individuals. In 9 out of 10 cases,. They form a u shape like a horseshoe. horseshoe kidneys are the most common type of renal fusion. Horseshoe Kidney Or Renal Fusion.
From www.slideserve.com
PPT CrossedFused Renal Ectopia imaged with Tc99mMAG₃ PowerPoint Presentation ID3387833 Horseshoe Kidney Or Renal Fusion if your child has horseshoe kidney, also called renal fusion, you’ve probably got a lot of questions. In 9 out of 10 cases,. horseshoe kidneys are the most common type of renal fusion anomaly. They form a u shape like a horseshoe. This can also cause blockages to the ureters, the tubes that. horseshoe kidney, or renal. Horseshoe Kidney Or Renal Fusion.
From exormwvfo.blob.core.windows.net
Fusion Of Kidneys at Ashley Langdon blog Horseshoe Kidney Or Renal Fusion They render the kidneys susceptible to trauma and are an. horseshoe kidneys are the most common type of renal fusion anomaly. They form a u shape like a horseshoe. This can also cause blockages to the ureters, the tubes that. if your child has horseshoe kidney, also called renal fusion, you’ve probably got a lot of questions. In. Horseshoe Kidney Or Renal Fusion.
From www.pinterest.com
Horseshoe kidney illustration Radiology Case Radiology, Renal, Kidney Horseshoe Kidney Or Renal Fusion horseshoe kidneys are the most common fusion defect of the kidneys occurring in approximately 1:500 individuals. horseshoe kidney is when the 2 kidneys join (fuse) together at the bottom. They render the kidneys susceptible to trauma and are an. They form a u shape like a horseshoe. In 9 out of 10 cases,. horseshoe kidneys are the. Horseshoe Kidney Or Renal Fusion.
From exopdesha.blob.core.windows.net
Horseshoe Kidney Fmf at Clyde Muth blog Horseshoe Kidney Or Renal Fusion horseshoe kidney is when the 2 kidneys join (fuse) together at the bottom. if your child has horseshoe kidney, also called renal fusion, you’ve probably got a lot of questions. In 9 out of 10 cases,. horseshoe kidney, or renal fusion, occurs when two individual kidneys fuse together as they rise from the lower belly. They render. Horseshoe Kidney Or Renal Fusion.